Skip to main content
Asian Journal of Biological and Life sciences
An Open Access, Peer Reviewed Journal
in the field of Biology and Life Sciences

Click to Submit Articles

Asian Journal of Biological and Life sciences
  • Home
  • Browse Issues
    • Articles In Press
    • Current Issue
    • Past Issues
  • About Journal
    • Aim and Scope
    • Editorial Board
    • Editorial Policy
    • Peer Review Process
    • Open Access Policy
  • For Authors
    • Instruction to Authors
    • Article Submission and Charges
    • Downloads
  • Contact Us
Home / Articles in images

Articles in images

Constitution of the above study sites contained Teak forest mixed with dry deciduous species
Click to read Article
Map of Himachal Pradesh, India showing the Shivalik hills and sample area
Floating cage used in the exposure of copepods and rabbitfish (S. guttatus) larvae to low
Comparative fibrinolytic properties of the extracts of larvae of C. bisselata
Average daily weight gain  of broiler starter on different levels of Gliricidia leaf meal
The chromatogram of aviptadil acetate standard sample.
Flow diagram of CNSL extraction by screw press
Bar diagram depicting the Butanol production when different culture concentrations were used
Variation in over-all percentage abundances of major groups of soil microarthropods at S1.
Discrimination of PEDV from other viruses in ELISA. The anti-PEDV-S1 antibody produced in this study was used as primary antibody in ELISA to detect a panel of viruses
Cane yield (t/ha) with sugarcane varieties as influenced by wide row spacing
Distribution of dixid flies in different states of India (%)
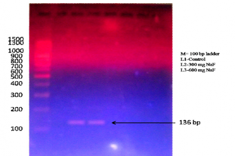
Quality assessment of blood DNA extract using electrophoresis
Response of plant growth regulators on the growth attributes of Abelmoschus esculentus
Effect of the ethanol extracts of A. paniculatum and C. spinosa
Metropolitan Waterworks and Sewage System (MWSS) Raw Water Conveyance Map http://mwss.gov.ph/awuaip3-2/
Rare, endemic and medicinal plants of selected sacred groves in  Chavakkad
Macroscopic studies of fresh Sidr (Ziziphusnummularia) andAthil (T. aphylla) plant
TLC Finger print profile of Tetrastigma angustifolia under 254 nm (A-254 & X-254) and 366 nm (A-366 & X-366)
Polygonum Hastatosagittatum Makino Polygonaceae
Adult Myllocerus discolor feeding on Jujube aves.
Colony of the Aspergillus foetidus
calibration of gallic acid for evaluation of phenolic content
Effect of pre-storage treatment and different packaging films
Scanning electron micrograph of  cells of  Klebsiella variicola PRBC 14
Determination of the optimal concentration of skeletal  muscle
Summary of complete blood profile of the detected carriers
Click to read Article
The interaction of season and species effects on the total protein content
State wise percentage of reported species of Therevidae from India.
pHchange of broth culture as a result of guar gum and xanthan gum degradation by B. thuringiensis
DPPH radical scavenging activity of different extracts of whole plant of Asystasia travancorica
Cracks created in the skin because of Nattrassia mangiferae
Measurement of dissolved oxygen (mg/l) under different treatments
PCR amplification of genomic DNA from 40 sesame genotypes and its diploid wild taxa with primer Pto-kin1IN.
Photograph of lignin based resin
Dendroygna javanica
Effect of Anethum graveolens extract on the distribution of the radioactivity
Variations in the transmittance intensities of P.sativum and D. carota plants incubated with drugs in water "pH 5.0" for 90 minutes at 37 °C
2D scatter plot showing Capsicum fruit shape variation
Frequency distribution of mitotic index (MI) of bone marrow cells in different series of mice at different fixation intervals (7D, 14D and 21D).
Indian geographical distribution of Persicaria chinensis (Linnaeus) H. Gross var. hispida (Hooker f.) Kantachot
Immunoprecipitation of the human transcription factor hUBF and fibrillarin.
The OTOP food products used as test substance
Antibacterial activity of F. nota leaf extracts and positive controls.
The 3-D assembly drawing of the small-scale composter
DNA binding study

Pages

  • « first
  • ‹ previous
  • …
  • 10
  • 11
  • 12
  • 13
  • 14
  • 15
  • 16
  • 17
  • 18
  • next ›
  • last »
  • Latest
  • Popular
  • Archive
Fish acclimatization and Blood sample collection
Zinc-Induced Histopathological and Enzymatic Alterations in Kidney and Liver of Common Carp Cyprinus carpio var. Communis: A Comprehensive Analysis
Jul 9, 2025 - 16:08
Gender Wise Distribution.
A Cross-Sectional Survey Study to Assess the Smart Phone Usage and Academic Performance in Medical Professional Students at National Institute of Ayurveda, Jaipur
Jul 4, 2025 - 13:08
Clinical and Radiological Resolution of Grade-III Knee Osteoarthritis through Panchakarma-A Case Report
Clinical and Radiological Resolution of Grade-III Knee Osteoarthritis through Panchakarma-A Case Report
Jul 4, 2025 - 13:04
PPI interactions of top 20 HUB Genes interacting proteins in stringbase. Number of Nodes : 20, Number of Edges : 118, Average Node Degree:11.8, Avg. Local Clustering Coefficient : 0.777, Expected Number of Edges : 12, PPI Enrichment p-value : < 1.0e-16.
Identification of Hub Genes and Therapeutic Targets in Lung Cancer Using Software Tools
Jul 4, 2025 - 12:59
More
Amblystegium serpens (Hedw.) Schimp. (Amblystegiaceae: Bryophyta) from Indian Peninsula
Amblystegium serpens (Hedw.) Schimp. (Amblystegiaceae: Bryophyta) from Indian Peninsula
Number of bird species in different guilds and in different natural environments.
Diversity and Trophic Structure of Bird's Community in Amazon Rainforest Fragments in Different Stages of Ecological Succession
Tumor and cell lines
The Effects of Cryptelytrops albolabris, Calloselasma rhodostoma and Daboia siamensis Venoms on Human Cancer Cells
October 2025 (16)
August 2025 (5)
July 2025 (11)
May 2025 (27)
April 2025 (30)
January 2025 (5)
December 2024 (33)
October 2024 (1)
September 2024 (40)
June 2024 (7)
May 2024 (25)
March 2024 (1)
More

Search form

About Journal

 

Asian Journal of Biological and Life sciences a peer-reviewed, open access/print Journal. The Journal is devoted to publishing scientific and technical information in the field of Biological, and Life sciences. With 3 issues per year, the Journal aims to provide the most complete and reliable source of information on current developments in the respective fields. The emphasis will be on publishing high-quality articles and providing free access to researchers worldwide through online .The Journal publishes research articles, reviews, short communications etc containing original research works of good standards

 

  • Editor-in-Chief : Dr. Dilip 
  • e-ISSN : 2278-5957 ; p-ISSN : 2278-747X
  • Frequency : Triannual (3 issues/year)
  • Indexed and Abstracted in :  

    CNKI, Zoological Record,  Indianscience.in, Geneva Foundation of Medical Education and Research, New Jour, Ulrich periodical directory, Jour Informatics,Genamics Journal seek,Cabi,CAS indexing (A divison of American Chemical Society) Jadoun Science Abstract Base,HINARI PORTAL ( Health InterNetwork Access to Research Initiative  BY WORLD HEALTH ORGANISATION.)*, Cite Factor, (Academic scientific Journal), Universal Impact factor,Research Bible,Directory of Research Journal Indexing (DRJI),Info port Electronic resources, Directory of Science, International center for Chemical and Biological Sciences(ICCBS) Libraries,Eletronic Journals library (GIGA-German institute of Global and Area studies information centre

 

Tags

16S r-RNA sequencing
16S rRNA
16S rRNA gene sequence
16S rRNA.
16SrRNA
17α
1H NMR
2019-nCoV
20β-dihydroxy-4-pregnen-3-one
2D gel
30 Centesimal Potency
3M MDS system (Molecular detection system)
3T3-L1 adipocytes
6S rRNA
7-methoxycoumarin
8-O-methyl fusarubin
8-O-methyl fusarubin.
99mTc
: Heteropoda
: Selenium
a-amylase
a-amylase.
A. dubius
A. paeoniifolius
A. racemosa
A. racemosa fruit
Aanat2 gene
Abaca
Abelmoschus manihot
Abelmoschus moschatus
Abiotic factors
Abiotic Stress
Abundance
Abundance.
Acacia ferruginea
Acacia lignin
Academic Performance
Acetic acid
Acetyl choline
Acetylcholinesterase
AChE (Acetylcholinesterase)
Achromobacter xylosoxidans
Acinetobacter baumannii
Activated charcoal
Activated partial thromboplastin time
Active packaging
active transport
Active transport
Activity
Activity.
More

Stay tuned with us

AJBLS provides DOI (Digital Object Identifier) to each published article. All published articles are indexed in Zoological record, Google scholar, China National Knowledge Infrastructure (CNKI), CrossRef and under process in Directory of Open Access Journals, EBSCO Publishing's Electronic Databases, Hinari (WHO) and Index Copernicus etc.

All articles published in AJBLS are made open access immediately.

Copyright © 2025 AJBLS. All rights reserved.
Powered by : Manuscript TechnoMedia LLP.

Creative Commons Licence
This work is licensed under a Creative Commons Attribution-NonCommercial 4.0 International License.

  • Home
  • Advertise with us
  • Privacy Statement
  • Contact