Skip to main content
Asian Journal of Biological and Life sciences
An Open Access, Peer Reviewed Journal
in the field of Biology and Life Sciences

Click to Submit Articles

Asian Journal of Biological and Life sciences
  • Home
  • Browse Issues
    • Articles In Press
    • Current Issue
    • Past Issues
  • About Journal
    • Aim and Scope
    • Editorial Board
    • Editorial Policy
    • Peer Review Process
    • Open Access Policy
  • For Authors
    • Instruction to Authors
    • Article Submission and Charges
    • Downloads
  • Contact Us
Home / Articles in images

Articles in images

A-D Symptoms on bean (Phaseolus vulgaris) plants after mechanical inoculation with isolate of Tobacco mosaic virus (TMV). (A) Bean plant just after inoculation (B) Bean showing wilting after 3days of inoculation (C) Leaf showing necrotic lesion (D) wilted plant after one week of inoculation.
Comparison of Dengue RT-PCR Positivity of Whole Blood and Plasma RNA Extracts.
Profile of response surface plot for a) L* b) a* c) b* and d) OP as function of α-TOC and C15A nanoparticles concentrations (wt%).
Occurrence and Antibiotic Sensitivity of Escherichia coli and Salmonella spp. in Retail Chicken Meat at Selected Markets in Valencia City, Bukidnon, Philippines
Habit of Lycopodiella cernua (L.) J. Sm. (N 07°52.72 E 125°04.06) in Mt. Musuan, Bukidnon, Philippines.
Agarose gel electrophoresis profiles of PCR products amplified using primers (A) (Gentamicin, 616 bp) Tn1696 aacC1 F and Tn1696 aacC1 R., (B) (Kanamycin, 944 bp) Tn903 aph F and Tn903 aph R. and (C) (Tetracycline, 1996 bp) Tn10 tetRA F and Tn10 tetRA R.
Table 1: Sample population and the treatment assigned per group in the study
Quality and Yields of Black Tea Camellia Sinensis L. O. Kuntze in Responses to Harvesting in Kenya
Effect of Aqueous and Ethanolic Pomegranate peel extracts
The impact of zinc fertilization.
There are 9¬10 villages of 2000
Fumigant action of malathion (50 E.C.) against eggs of S.
Studies on internalization of Escherichia
Geographic and altitudinal information of sampling
Click to read article
SEM image of synthesized AgNPs.
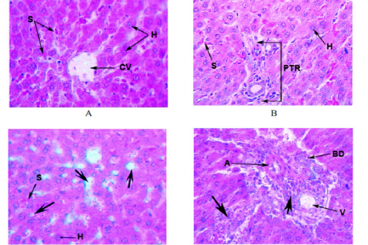
Effect of Short and Long Term Intake of Traditional Aphrodisiac Cantharis Q on Liver of Male Albino Rat
Duration of development stages of T. urticae on okra.
% disease severity in treated tomato plants
Sedling of Leucas nutans (Roth.) spreng
The effect of irrigation
Standard evaluation system for rating damage by brown planthopper.
The effects of combined oral
Map of General Santos City.
Map shows the location of sampling stations in Bakun Dam, Sarawak.
Study area represented with a small red
PCR product of 1467 bp of calB gene was observed on 1% Agarose gel
Stomatal Complex Types in Cintrus limon
Efficiency of chitosan/carrageenan complex and single polymers
Physicochemical parameters 2011-2012
Diseased tomato plants (Experiment 1) on 35th day from
Specimens of giant African land snail Achatina fulica.
Antimutagenic properties of bacterial supernatants against acrylic amide
UV-Vis absorption spectra of Silver nanoparticles
Estimation of General combining ability effect for various yield
. Total antioxidant activity of the Dunaliella bardawil extracts presented as mean ferric reducing
Preliminary phytochemical analysis of screened mushroom samples
Goat in group
Mean Body Weight, BMI, Serum Creatinine, and Creatinine Clearance of various weight categories
Effect of LFA and press mud on growth and yield attributes of Sugarcane-ratoon sugarcane(2011)
Effect of powdered leaves of Ageratum
The evolutionary divergence
Spectrum of intestinal parasites among school children in Kano metropolis
Effect of aqueous and ethanolic pomegranate
Distribution of Respondents According to Innovations Introduced (n=105)
Experimental groups and treatment given
Serum AST, ALT, ALP, GGT activities, level of TP, ALB, and GLO
Effect of Phosphorus and Sulphur

Pages

  • « first
  • ‹ previous
  • …
  • 9
  • 10
  • 11
  • 12
  • 13
  • 14
  • 15
  • 16
  • 17
  • next ›
  • last »
  • Latest
  • Popular
  • Archive
Fish acclimatization and Blood sample collection
Zinc-Induced Histopathological and Enzymatic Alterations in Kidney and Liver of Common Carp Cyprinus carpio var. Communis: A Comprehensive Analysis
Jul 9, 2025 - 16:08
Gender Wise Distribution.
A Cross-Sectional Survey Study to Assess the Smart Phone Usage and Academic Performance in Medical Professional Students at National Institute of Ayurveda, Jaipur
Jul 4, 2025 - 13:08
Clinical and Radiological Resolution of Grade-III Knee Osteoarthritis through Panchakarma-A Case Report
Clinical and Radiological Resolution of Grade-III Knee Osteoarthritis through Panchakarma-A Case Report
Jul 4, 2025 - 13:04
PPI interactions of top 20 HUB Genes interacting proteins in stringbase. Number of Nodes : 20, Number of Edges : 118, Average Node Degree:11.8, Avg. Local Clustering Coefficient : 0.777, Expected Number of Edges : 12, PPI Enrichment p-value : < 1.0e-16.
Identification of Hub Genes and Therapeutic Targets in Lung Cancer Using Software Tools
Jul 4, 2025 - 12:59
More
Clinical and Radiological Resolution of Grade-III Knee Osteoarthritis through Panchakarma-A Case Report
Clinical and Radiological Resolution of Grade-III Knee Osteoarthritis through Panchakarma-A Case Report
Chemical Profiling and in vitro Cytotoxic Properties of Themeda triandra Forssk. Against Human Bone Osteosarcoma Cell Line (MG-63)
Chemical Profiling and in vitro Cytotoxic Properties of Themeda triandra Forssk. Against Human Bone Osteosarcoma Cell Line (MG-63)
Effect of the extract on mouse DLA cell lines.
In vitro Anti-Cancer Activity of Plectranthus amboinicus (Lour.) Spreng. in DLA Cell lines
October 2025 (16)
August 2025 (5)
July 2025 (11)
May 2025 (27)
April 2025 (30)
January 2025 (5)
December 2024 (33)
October 2024 (1)
September 2024 (40)
June 2024 (7)
May 2024 (25)
March 2024 (1)
More

Search form

About Journal

 

Asian Journal of Biological and Life sciences a peer-reviewed, open access/print Journal. The Journal is devoted to publishing scientific and technical information in the field of Biological, and Life sciences. With 3 issues per year, the Journal aims to provide the most complete and reliable source of information on current developments in the respective fields. The emphasis will be on publishing high-quality articles and providing free access to researchers worldwide through online .The Journal publishes research articles, reviews, short communications etc containing original research works of good standards

 

  • Editor-in-Chief : Dr. Dilip 
  • e-ISSN : 2278-5957 ; p-ISSN : 2278-747X
  • Frequency : Triannual (3 issues/year)
  • Indexed and Abstracted in :  

    CNKI, Zoological Record,  Indianscience.in, Geneva Foundation of Medical Education and Research, New Jour, Ulrich periodical directory, Jour Informatics,Genamics Journal seek,Cabi,CAS indexing (A divison of American Chemical Society) Jadoun Science Abstract Base,HINARI PORTAL ( Health InterNetwork Access to Research Initiative  BY WORLD HEALTH ORGANISATION.)*, Cite Factor, (Academic scientific Journal), Universal Impact factor,Research Bible,Directory of Research Journal Indexing (DRJI),Info port Electronic resources, Directory of Science, International center for Chemical and Biological Sciences(ICCBS) Libraries,Eletronic Journals library (GIGA-German institute of Global and Area studies information centre

 

Tags

16S r-RNA sequencing
16S rRNA
16S rRNA gene sequence
16S rRNA.
16SrRNA
17α
1H NMR
2019-nCoV
20β-dihydroxy-4-pregnen-3-one
2D gel
30 Centesimal Potency
3M MDS system (Molecular detection system)
3T3-L1 adipocytes
6S rRNA
7-methoxycoumarin
8-O-methyl fusarubin
8-O-methyl fusarubin.
99mTc
: Heteropoda
: Selenium
a-amylase
a-amylase.
A. dubius
A. paeoniifolius
A. racemosa
A. racemosa fruit
Aanat2 gene
Abaca
Abelmoschus manihot
Abelmoschus moschatus
Abiotic factors
Abiotic Stress
Abundance
Abundance.
Acacia ferruginea
Acacia lignin
Academic Performance
Acetic acid
Acetyl choline
Acetylcholinesterase
AChE (Acetylcholinesterase)
Achromobacter xylosoxidans
Acinetobacter baumannii
Activated charcoal
Activated partial thromboplastin time
Active packaging
active transport
Active transport
Activity
Activity.
More

Stay tuned with us

AJBLS provides DOI (Digital Object Identifier) to each published article. All published articles are indexed in Zoological record, Google scholar, China National Knowledge Infrastructure (CNKI), CrossRef and under process in Directory of Open Access Journals, EBSCO Publishing's Electronic Databases, Hinari (WHO) and Index Copernicus etc.

All articles published in AJBLS are made open access immediately.

Copyright © 2025 AJBLS. All rights reserved.
Powered by : Manuscript TechnoMedia LLP.

Creative Commons Licence
This work is licensed under a Creative Commons Attribution-NonCommercial 4.0 International License.

  • Home
  • Advertise with us
  • Privacy Statement
  • Contact