Asian Journal of Biological and Life sciences, Vol 9, Issue 2, May-Aug, 2020

Recent Articles

Research Article

Diversity and Abundance of Earthworms in Different Landuse Patterns: Relation with Soil Properties

Sharanpreet Singh,Jaswinder Singh,Adarsh Pal Vig

Asian J. Biol. Life Sci.,9(2):111-118
DOI: 10.5530/ajbls.2020.9.18
Published: Wed, 3-Feb-2021
Read More
Research Article

Extraction of Keratin from Human Hair with Production of Biofertilizer from Waste Liquid of Hair Extraction and its Efficient Application on Growth Yield of Abelmoschus esculentus L

Gayathri Unnikrishnan,Vijayaraghavan Ramasamy

Asian J. Biol. Life Sci.,9(2):119-128
DOI: 10.5530/ajbls.2020.9.19
Published: Wed, 3-Feb-2021
Read More
Research Article

Categorizing Functional Yoghurt using Artificial Neural Network

JK Pallavi,M Sukumar

Asian J. Biol. Life Sci.,9(2):129-138
DOI: 10.5530/ajbls.2020.9.20
Published: Wed, 3-Feb-2021
Read More
Research Article

Bio-functionalized Gold Nanoparticles: A Potent Probe for Profound Antibacterial Efficiency through Drug Delivery System

Manoj Singh,Subramanian Manikandan,Mukesh Yadav,Sunil Kumar,Nirmala Sehrawat,Vikas Meashi, ,Pranjal Sharma,Anil Kumar Sharma

Asian J. Biol. Life Sci.,9(2):139-144
DOI: 10.5530/ajbls.2020.9.21
Published: Wed, 3-Feb-2021
Read More
Research Article

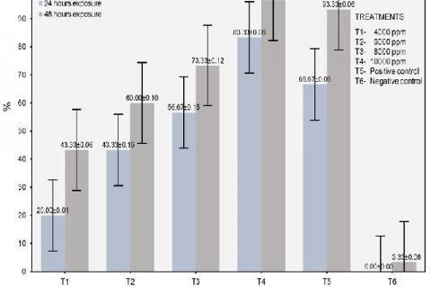
Larvicidal Property of the Acidified Chitosan from Marine Crab Shell Wastes against Aedes aegypti

Rosalle Moreno Perez,Rosar Jane Toton Endaya,Fharnieza Sabdula Mohammad,Melbert Cabañog Sepe

Asian J. Biol. Life Sci.,9(2):145-151
DOI: 10.5530/ajbls.2020.9.22
Published: Wed, 3-Feb-2021
Read More
Research Article

Evaluation of Antioxidant and Antidiabetic Potential of Crude Protein Extract of Pumpkin Seeds (Cucurbita maxima L.)

Sarah Jane Monica,Sheila John,Saraswathi K,Madhanagopal R,Arumugam P

Asian J. Biol. Life Sci.,9(2):152-157
DOI: 10.5530/ajbls.2020.9.23
Published: Wed, 3-Feb-2021
Read More
Research Article

Extraction and Molecular Characterization of Antimicrobial Metabolites from Streptomyces rochei against Bacterial Leaf Blight of Cotton Caused by Pantoea sp

Priti Patel,Gayatri Patel,Priya Mehta

Asian J. Biol. Life Sci.,9(2):158-162
DOI: 10.5530/ajbls.2020.9.24
Published: Wed, 3-Feb-2021
Read More
Research Article

Assessment of Enzymatic Potential of Soil Fungi to Improve Soil Quality and Fertility

Raj Singh,Sushil Kumar Upadhyay,Indu Sharma,Pooja Kamboj,Anju Rani,Permod Kumar

Asian J. Biol. Life Sci.,9(2):163-168
DOI: 10.5530/ajbls.2020.9.25
Published: Wed, 3-Feb-2021
Read More
Research Article

Effect of Free-Living Nitrogen Fixing and Phosphate Solubilizing Bacteria on Growth of Gossypium hirsutum L

Priti Patel,Khushbu Panchal

Asian J. Biol. Life Sci.,9(2):169-176
DOI: 10.5530/ajbls.2020.9.26
Published: Wed, 3-Feb-2021
Read More
Research Article

Selected Mollusks from Pujada Bay, Philippines: Heavy Metal Health Risk Assessment and Antibacterial Activities

Janeth Cuevas Tayone,Jeaneil Camille C. Ortiz,Wilanfranco C. Tayone

Asian J. Biol. Life Sci.,9(2):177-184
DOI: 10.5530/ajbls.2020.9.27
Published: Wed, 3-Feb-2021
Read More
Research Article

Zoonotic Transmission and Infection from Bovine Feces in Selected Ricefields of Lake Mainit, Philippines

Joycelyn C. Jumawan,Maria Karla M. Balamad,Leonardo A. Estaño

Asian J. Biol. Life Sci.,9(2):185-189
DOI: 10.5530/ajbls.2020.9.28
Published: Wed, 3-Feb-2021
Read More
Research Article

Phytoplankton Community Composition of Carigara Bay, Leyte and its Freshwater Tributaries

Hernando Alice Gera S,Susana F. Baldia,Paciente A. Cordero

Asian J. Biol. Life Sci.,9(2):190-199
DOI: 10.5530/ajbls.2020.9.29
Published: Wed, 3-Feb-2021
Read More
Research Article

Culture of Litopenaeus vannamei of Brackish Water in Summer Season with Artificial Diet

Ratna Sekar Puli,Ravi Babu Birudu,Danya Babu Ravuru, ,Jagadish Naik Mude

Asian J. Biol. Life Sci.,9(2):200-203
DOI: 10.5530/ajbls.2020.9.30
Published: Wed, 3-Feb-2021
Read More
Research Article

Microbiological Studies on Clostridium perfringens Isolated from Commercial Poultry of Balochistan

Ramla Achakzai,Muhammad Kamran Taj,Kamran Baseer Achakzai

Asian J. Biol. Life Sci.,9(2):204-208
DOI: 10.5530/ajbls.2020.9.31
Published: Wed, 3-Feb-2021
Read More
Research Article

Isolation and Identification of Thermotolerent Acetic Acid Bacteria from Waste Fruits

Bikash Kumar Sahoo,Rashmi Ranjan Mishra,Bikash Chandra Behera

Asian J. Biol. Life Sci.,9(2):209-213
DOI: 10.5530/ajbls.2020.9.32
Published: Wed, 3-Feb-2021
Read More
Research Article

Optimization of Statin Production from Aspergillus tamarii

Nidhiya Kizhakkoot Anilkumar,Arya Radhakrish Krishna,Jayaprabha Chockalingam,Lavanya Balakrishnan,Navitha Thanu Janarthanan,Praveen Ramachandran,Sharba Deepa Palanisami,Sharmila Srimathi Dhanaraj,Sindhya Joseph,Swathy Krishna Jayalekshmi,Trisha Mary Pandi Antony,Suganthi Ramasamy

Asian J. Biol. Life Sci.,9(2):214-219
DOI: 10.5530/ajbls.2020.9.33
Published: Wed, 3-Feb-2021
Read More
Research Article

Water Quality as a Priority Area of Community Needs Assessment: Community Extension Service with the Indigenous Tribe of Hanunuo Mangyan in the Philippines

vFrederick R. Masangkay,Giovanni D. Milanez,Luzelle Anne G.L. Ormita,Abel V. Alvarez,Myrna P. Quinto,Ferdianand F. Lanestosa,Lynda Christine Diaz,Paul Johnson,8Panagiotis Karanis Pa Karanis7

Asian J. Biol. Life Sci.,9(2):220-226
DOI: 10.5530/ajbls.2020.9.34
Published: Wed, 3-Feb-2021
Read More
Research Article

Effects of Plant Growth Regulators on in vitro Propagation of Economically Important Ornamental Plant Rosa hybrida L.

Diwakar Aggarwal,Sushil Kumar Upadhyay,Kuldeep Kumar,Nirmala Sehrawat,Hardeep Singh Tuli,Raj Singh

Asian J. Biol. Life Sci.,9(2):227-233
DOI: 10.5530/ajbls.2020.9.35
Published: Wed, 3-Feb-2021
Read More
Research Article

Micronutrient Foliar Spray on Growth Performance of Green Gram (Vigna radiata L.)

Smitanjali Nayak,Debabrata Nayak,Sagarika Parida

Asian J. Biol. Life Sci.,9(2):234-238
DOI: 10.5530/ajbls.2020.9.36
Published: Wed, 3-Feb-2021
Read More
Review Article

A Review on the Historical Development of Phytoplankton in the Philippines and their Biological Importance throughout the Years

Hernando Alice Gera S,Susana F. Baldia,Paciente A. Cordero

Asian J. Biol. Life Sci.,9(2):239-245
DOI: 10.5530/ajbls.2020.9.37
Published: Wed, 3-Feb-2021
Read More
Review Article

A Review Study on Efficacy of Immunomodulatory agents used for the Treatment of Covid-19

Abdulaziz Umar Kurya,Abdulhakim Umar Toro,Usman Rabiu Bello,Dinesh Chandra Sharma

Asian J. Biol. Life Sci.,9(2):246-250
DOI: 10.5530/ajbls.2020.9.38
Published: Wed, 3-Feb-2021
Read More
Review Article

Understanding Covid-19 Based on Clinical Insights and Recent Advancements in Therapeutic Discovery

Abdulaziz Umar Kurya,Usama Aliyu,Mu’azu Abubakar Gusau

Asian J. Biol. Life Sci.,9(2):251-259
DOI: 10.5530/ajbls.2020.9.39
Published: Wed, 3-Feb-2021
Read More
Short Communication

Addition of Six New Genera to the Flora of Odisha: A Report

Ramakanta Mishra,Gouri Sankar Jug Jena,Smaranika Nayak,Kunja Bihari Satapathy,Ashirbad Mohapatra

Asian J. Biol. Life Sci.,9(2):260-267
DOI: 10.5530/ajbls.2020.9.40
Published: Wed, 3-Feb-2021
Read More