Skip to main content
Asian Journal of Biological and Life sciences
An Open Access, Peer Reviewed Journal
in the field of Biology and Life Sciences

Click to Submit Articles

Asian Journal of Biological and Life sciences
  • Home
  • Browse Issues
    • Articles In Press
    • Current Issue
    • Past Issues
  • About Journal
    • Aim and Scope
    • Editorial Board
    • Editorial Policy
    • Peer Review Process
    • Open Access Policy
  • For Authors
    • Instruction to Authors
    • Article Submission and Charges
    • Downloads
  • Contact Us
Home / sys1

sys1

Latest posts from sys1

Latest

Polygonum Hastatosagittatum Makino Polygonaceae

Polygonum Hastatosagittatum Makino (Polygonaceae): A New Distributional Record for India

7 years 2 months ago [comment_count]
Read more
Adult Myllocerus discolor feeding on Jujube aves.

Myllocerus discolor - A Pest of Ber (Ziziphus jujube) in Tripura, India.

7 years 2 months ago [comment_count]
Read more
Colony of the Aspergillus foetidus

High Yield Production of Industrially Important Multi Enzymes by Aspergillus Foetidus using Solid State Fermentation

7 years 2 months ago [comment_count]
Read more
calibration of gallic acid for evaluation of phenolic content

Evaluation of Phenolic Compounds and DPPH Inhibition of two Iran Endemic Species from Vincetoxicum Genus

7 years 2 months ago [comment_count]
Read more
Effect of pre-storage treatment and different packaging films

Post Storage Physiology and Vase life of low Temperature Stored Tuberose Cut Spikes as Influenced by α-Lipoic Acid and Polyfilm Packaging

7 years 2 months ago [comment_count]
Read more
Scanning electron micrograph of  cells of  Klebsiella variicola PRBC 14

Metal Resistance and Bactericidal Activities of a New Strain of Klebsiella Variicola Isolated from Iron Mine

7 years 2 months ago [comment_count]
Read more
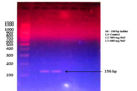
Determination of the optimal concentration of skeletal  muscle

Effect of Fluoride on the Expression of type I Collagen Gene (COL1A1) in Skeletal Muscle of Rats

7 years 2 months ago [comment_count]
Read more

Pages

  • « first
  • ‹ previous
  • …
  • 114
  • 115
  • 116
  • 117
  • 118
  • 119
  • 120
  • 121
  • 122
  • …
  • next ›
  • last »
  • Latest
  • Popular
  • Archive
Fish acclimatization and Blood sample collection
Zinc-Induced Histopathological and Enzymatic Alterations in Kidney and Liver of Common Carp Cyprinus carpio var. Communis: A Comprehensive Analysis
Jul 9, 2025 - 16:08
Gender Wise Distribution.
A Cross-Sectional Survey Study to Assess the Smart Phone Usage and Academic Performance in Medical Professional Students at National Institute of Ayurveda, Jaipur
Jul 4, 2025 - 13:08
Clinical and Radiological Resolution of Grade-III Knee Osteoarthritis through Panchakarma-A Case Report
Clinical and Radiological Resolution of Grade-III Knee Osteoarthritis through Panchakarma-A Case Report
Jul 4, 2025 - 13:04
PPI interactions of top 20 HUB Genes interacting proteins in stringbase. Number of Nodes : 20, Number of Edges : 118, Average Node Degree:11.8, Avg. Local Clustering Coefficient : 0.777, Expected Number of Edges : 12, PPI Enrichment p-value : < 1.0e-16.
Identification of Hub Genes and Therapeutic Targets in Lung Cancer Using Software Tools
Jul 4, 2025 - 12:59
More
 EPS produced by Isolate No. KR7
Suitability of Growth Media and Carbon Source for EPS Production by Lysinibacillus macroides
Graph showing biofilm formation in Congo red agar method.
Evaluation of Anti-biofilm Formation of Methicillin Resistant Staphylococcus Species in Clinical Milk Samples of Bovine Mastitis using Selective Medicinal Plants
Fish acclimatization and Blood sample collection
Zinc-Induced Histopathological and Enzymatic Alterations in Kidney and Liver of Common Carp Cyprinus carpio var. Communis: A Comprehensive Analysis
October 2025 (16)
August 2025 (5)
July 2025 (11)
May 2025 (27)
April 2025 (30)
January 2025 (5)
December 2024 (33)
October 2024 (1)
September 2024 (40)
June 2024 (7)
May 2024 (25)
March 2024 (1)
More

Search form

About Journal

 

Asian Journal of Biological and Life sciences a peer-reviewed, open access/print Journal. The Journal is devoted to publishing scientific and technical information in the field of Biological, and Life sciences. With 3 issues per year, the Journal aims to provide the most complete and reliable source of information on current developments in the respective fields. The emphasis will be on publishing high-quality articles and providing free access to researchers worldwide through online .The Journal publishes research articles, reviews, short communications etc containing original research works of good standards

 

  • Editor-in-Chief : Dr. Dilip 
  • e-ISSN : 2278-5957 ; p-ISSN : 2278-747X
  • Frequency : Triannual (3 issues/year)
  • Indexed and Abstracted in :  

    CNKI, Zoological Record,  Indianscience.in, Geneva Foundation of Medical Education and Research, New Jour, Ulrich periodical directory, Jour Informatics,Genamics Journal seek,Cabi,CAS indexing (A divison of American Chemical Society) Jadoun Science Abstract Base,HINARI PORTAL ( Health InterNetwork Access to Research Initiative  BY WORLD HEALTH ORGANISATION.)*, Cite Factor, (Academic scientific Journal), Universal Impact factor,Research Bible,Directory of Research Journal Indexing (DRJI),Info port Electronic resources, Directory of Science, International center for Chemical and Biological Sciences(ICCBS) Libraries,Eletronic Journals library (GIGA-German institute of Global and Area studies information centre

 

Tags

16S r-RNA sequencing
16S rRNA
16S rRNA gene sequence
16S rRNA.
16SrRNA
17α
1H NMR
2019-nCoV
20β-dihydroxy-4-pregnen-3-one
2D gel
30 Centesimal Potency
3M MDS system (Molecular detection system)
3T3-L1 adipocytes
6S rRNA
7-methoxycoumarin
8-O-methyl fusarubin
8-O-methyl fusarubin.
99mTc
: Heteropoda
: Selenium
a-amylase
a-amylase.
A. dubius
A. paeoniifolius
A. racemosa
A. racemosa fruit
Aanat2 gene
Abaca
Abelmoschus manihot
Abelmoschus moschatus
Abiotic factors
Abiotic Stress
Abundance
Abundance.
Acacia ferruginea
Acacia lignin
Academic Performance
Acetic acid
Acetyl choline
Acetylcholinesterase
AChE (Acetylcholinesterase)
Achromobacter xylosoxidans
Acinetobacter baumannii
Activated charcoal
Activated partial thromboplastin time
Active packaging
active transport
Active transport
Activity
Activity.
More

Stay tuned with us

AJBLS provides DOI (Digital Object Identifier) to each published article. All published articles are indexed in Zoological record, Google scholar, China National Knowledge Infrastructure (CNKI), CrossRef and under process in Directory of Open Access Journals, EBSCO Publishing's Electronic Databases, Hinari (WHO) and Index Copernicus etc.

All articles published in AJBLS are made open access immediately.

Copyright © 2025 AJBLS. All rights reserved.
Powered by : Manuscript TechnoMedia LLP.

Creative Commons Licence
This work is licensed under a Creative Commons Attribution-NonCommercial 4.0 International License.

  • Home
  • Advertise with us
  • Privacy Statement
  • Contact