Skip to main content
Asian Journal of Biological and Life sciences
An Open Access, Peer Reviewed Journal
in the field of Biology and Life Sciences

Click to Submit Articles

Asian Journal of Biological and Life sciences
  • Home
  • Browse Issues
    • Articles In Press
    • Current Issue
    • Past Issues
  • About Journal
    • Aim and Scope
    • Editorial Board
    • Editorial Policy
    • Peer Review Process
    • Open Access Policy
  • For Authors
    • Instruction to Authors
    • Article Submission and Charges
    • Downloads
  • Contact Us
Home / Articles in images

Articles in images

Macroinvertebrates species composition and abundance in selected sampling stations in Lake Mainit, Philippines.
Interaction profile of highly interacting compound with PKC ε protein obtained through molecular docking with core hopping method
Psilenchus De Man, 1921.
Microphotographs of Freshwater Filamentous Cyanobacteria
Molecular Mechanism in diabetes with possible targets for therapy
Scatter graph showing the % of inhibition of ethanol extract against the DPPH and the inhibitory concentration (IC50 Value) observed is 50.93μg/mL.
Isolation of yeast from batter samples
Anthracnose
Non-invasive Prenatal Test - A Pilot Pan-India Experience of an Indian Laboratory
Production of intestinotropic hormones (GLP-1 and GLP-2)
Leaf branch of medicinal plants with the optimum Relative Frequency of Citation values
Vigna radiata L. Grown in Soil
Curative activity of artemether/lumefantrine/ ivermectin on Plasmodium berghei-infected mice
Caseinolytic plate assay for protease production
Effect of polyherbal formulation on intestinal transit in mice
Developing Queen Larvae Surrounded by Royal Jelly in open Queen Cel
ZRCP inhibits cancer cell proliferation in vitro A) Wound healing assay (MCF-7 cells), B) Graph representing number of cells migrating
To present in the antifungal activity in plants to given positive and negative results for the disc diffusion assay
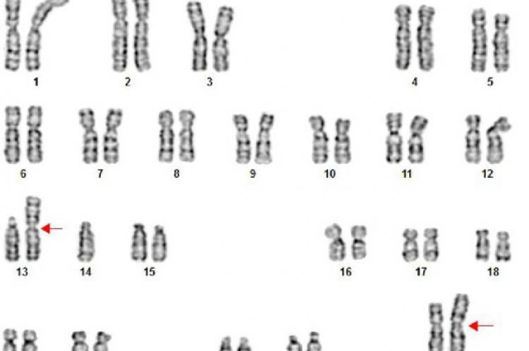
Case two with isochromosome Xq and Robertsonian translocation t(13;14)
Scanning Electron Micrograph
Interaction of host ceRNA network and B Network of viral siRNA-viral mRNA- host seed RNA
Combined concentration vs % DPPH inhibition graph of ethanol:water extract of E. ferox seed coat and ascorbic acid standard
Effect of VA (25, 50 and 100 mg/kg, p.o.) and Gabapentin (300 mg/kg, p.o.) on blood glucose level
Growth of wild-type at different concentrations. The growth rate of yeast cells was measured in the presence of test compounds at 660 nm
A Review on the Historical Development of Phytoplankton in the Philippines and their Biological Importance throughout the Years
Shoot Length (45 DAS) and Maximum Number of Nodules/Plant
Geography of the indigenous community and sampling sites
The surface plots of response surface methodology with the effect of solid substrate, moisture and pH for production of statin
Necrotic enteritis in broiler and layer samples of commercial poultry of Balochistan
Structure of SARS Cov-2 Showing Spike Proteins, RNA, Nucleocapsid Protein, Envelope Protein, Hemagglutinin Esterase Dimer Protein
Figure 2: P8 Genomic DNA Loaded on 1% Agarose Gel
Zoonotic parasites isolated from bovine fecal samples in selected ricefields in Lake Mainit, Philippines
14 Sampling Stations at Carigara bay and its Freshwater Resources. Collection of Water Samples
Selected mollusks collected from Guang-guang
P1 Water parameters & Growth performance
Carr agar medium (a) After acetic acid production (b) After over oxidation
Calystegia sepium with flowers
Immune response to viral infection
Micropropagation of Rosa hybrida
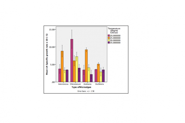
Specific Growth Rate of Microalgae under various temperatures.
Bacterial blight on cotton leaves
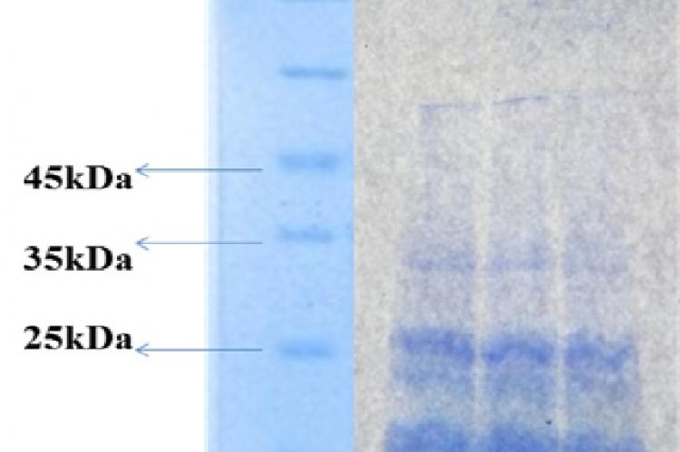
Electrophoretic profile of pumpkin seed protein
The cellulytic CMCase activity of recovered soil fungi
Stability of yoghurts
EDX spectral analysis of gold clusters formed by the reaction of 1 mM HAuCl4
Loading plots for factor analysis showing different abiotic factors in five sampling sites
Mortality rate (mean ± standard deviation) of the treatments tested against A. aegypti larvae exposed after 24 and after 48 hr
FESEM images of raw hair (from top left ): Surface morphology of non-extracted hair shaft at (a) 400 μm (b) 100 μm (c) 50 μm (d) 20 μm

Pages

  • « first
  • ‹ previous
  • …
  • 7
  • 8
  • 9
  • 10
  • 11
  • 12
  • 13
  • 14
  • 15
  • …
  • next ›
  • last »
  • Latest
  • Popular
  • Archive
Fish acclimatization and Blood sample collection
Zinc-Induced Histopathological and Enzymatic Alterations in Kidney and Liver of Common Carp Cyprinus carpio var. Communis: A Comprehensive Analysis
Jul 9, 2025 - 16:08
Gender Wise Distribution.
A Cross-Sectional Survey Study to Assess the Smart Phone Usage and Academic Performance in Medical Professional Students at National Institute of Ayurveda, Jaipur
Jul 4, 2025 - 13:08
Clinical and Radiological Resolution of Grade-III Knee Osteoarthritis through Panchakarma-A Case Report
Clinical and Radiological Resolution of Grade-III Knee Osteoarthritis through Panchakarma-A Case Report
Jul 4, 2025 - 13:04
PPI interactions of top 20 HUB Genes interacting proteins in stringbase. Number of Nodes : 20, Number of Edges : 118, Average Node Degree:11.8, Avg. Local Clustering Coefficient : 0.777, Expected Number of Edges : 12, PPI Enrichment p-value : < 1.0e-16.
Identification of Hub Genes and Therapeutic Targets in Lung Cancer Using Software Tools
Jul 4, 2025 - 12:59
More
 EPS produced by Isolate No. KR7
Suitability of Growth Media and Carbon Source for EPS Production by Lysinibacillus macroides
Sampling sites of present study.
Determination of Polycyclic Aromatic Hydrocarbons (PAHs) and their Sources in Ganga River Water, Uttar Pradesh, India
Aspergillus niger, Aspergillus fumigatus, Yeasts, Aspergillus
Motorcycle Helmets as Potential Fomites in Transmission of Pathogenic Micro-organisms and Antibacterial Activity of Helmet Disinfectant Spray
October 2025 (16)
August 2025 (5)
July 2025 (11)
May 2025 (27)
April 2025 (30)
January 2025 (5)
December 2024 (33)
October 2024 (1)
September 2024 (40)
June 2024 (7)
May 2024 (25)
March 2024 (1)
More

Search form

About Journal

 

Asian Journal of Biological and Life sciences a peer-reviewed, open access/print Journal. The Journal is devoted to publishing scientific and technical information in the field of Biological, and Life sciences. With 3 issues per year, the Journal aims to provide the most complete and reliable source of information on current developments in the respective fields. The emphasis will be on publishing high-quality articles and providing free access to researchers worldwide through online .The Journal publishes research articles, reviews, short communications etc containing original research works of good standards

 

  • Editor-in-Chief : Dr. Dilip 
  • e-ISSN : 2278-5957 ; p-ISSN : 2278-747X
  • Frequency : Triannual (3 issues/year)
  • Indexed and Abstracted in :  

    CNKI, Zoological Record,  Indianscience.in, Geneva Foundation of Medical Education and Research, New Jour, Ulrich periodical directory, Jour Informatics,Genamics Journal seek,Cabi,CAS indexing (A divison of American Chemical Society) Jadoun Science Abstract Base,HINARI PORTAL ( Health InterNetwork Access to Research Initiative  BY WORLD HEALTH ORGANISATION.)*, Cite Factor, (Academic scientific Journal), Universal Impact factor,Research Bible,Directory of Research Journal Indexing (DRJI),Info port Electronic resources, Directory of Science, International center for Chemical and Biological Sciences(ICCBS) Libraries,Eletronic Journals library (GIGA-German institute of Global and Area studies information centre

 

Tags

16S r-RNA sequencing
16S rRNA
16S rRNA gene sequence
16S rRNA.
16SrRNA
17α
1H NMR
2019-nCoV
20β-dihydroxy-4-pregnen-3-one
2D gel
30 Centesimal Potency
3M MDS system (Molecular detection system)
3T3-L1 adipocytes
6S rRNA
7-methoxycoumarin
8-O-methyl fusarubin
8-O-methyl fusarubin.
99mTc
: Heteropoda
: Selenium
a-amylase
a-amylase.
A. dubius
A. paeoniifolius
A. racemosa
A. racemosa fruit
Aanat2 gene
Abaca
Abelmoschus manihot
Abelmoschus moschatus
Abiotic factors
Abiotic Stress
Abundance
Abundance.
Acacia ferruginea
Acacia lignin
Academic Performance
Acetic acid
Acetyl choline
Acetylcholinesterase
AChE (Acetylcholinesterase)
Achromobacter xylosoxidans
Acinetobacter baumannii
Activated charcoal
Activated partial thromboplastin time
Active packaging
active transport
Active transport
Activity
Activity.
More

Stay tuned with us

AJBLS provides DOI (Digital Object Identifier) to each published article. All published articles are indexed in Zoological record, Google scholar, China National Knowledge Infrastructure (CNKI), CrossRef and under process in Directory of Open Access Journals, EBSCO Publishing's Electronic Databases, Hinari (WHO) and Index Copernicus etc.

All articles published in AJBLS are made open access immediately.

Copyright © 2025 AJBLS. All rights reserved.
Powered by : Manuscript TechnoMedia LLP.

Creative Commons Licence
This work is licensed under a Creative Commons Attribution-NonCommercial 4.0 International License.

  • Home
  • Advertise with us
  • Privacy Statement
  • Contact